子宮動脈塞栓術法とは
子宮動脈塞栓術は子宮全摘術が必要とされる患者様に対して行います。
太腿の付け根の動脈からカテーテルを左右の子宮動脈まで進め、ゼラチンでできた塞栓物質で一時的に動脈の血流を遮断。これによって筋腫は血流が途絶え枯れた状態になってしまいます。
しかし、子宮の正常な部分は周囲からの動脈の発達により保たれ枯れることはありません。筋腫そのものだけがやがて退縮していきます。筋腫は悪性腫瘍ではないので筋腫そのものをなくしてやる必要はありません。
治療の目標は症状の改善にあり、治療時間は約1時間程度で終了します。お腹を切らないので、太腿の付け根に3mmほどの横切開した傷しか残りません。
術後当日は塞栓の影響で下腹部の痛みや発熱が生じますが、これは治療が効いている証拠であり、除痛薬等でコントロールします。元気な方は翌日には歩けるようになり、術後3日目ほどで退院していきます。

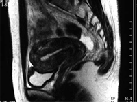
塞栓術前
塞栓術治療3日後
塞栓術治療1年後
黒く抜けているのは全て壊死におちいった筋腫
1年後枯れた筋腫は排出され消失している












